PAS染色法
词条百科 70
目录
PAS染色法
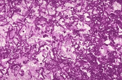
高碘酸-席夫 (PAS) 是一种染色方法,用于检测组织中的糖原等多糖和糖蛋白、糖脂和粘蛋白等粘液物质。 高碘酸的反应会氧化这些糖中的邻位二醇,通常会破坏两个相邻碳之间的键,这些碳不参与作为长多糖一部分的单糖单元环中的糖苷键或闭环,并产生一对 在每个断裂的单糖环的两个自由尖端处的醛。 必须充分调节氧化条件以便不进一步氧化醛。 然后,这些醛与席夫试剂反应产生紫色-品红色。 合适的碱性染料通常用作复染剂。
• PAS 淀粉酶染色剂(PAS-D) 是与淀粉酶结合使用的PAS 染色剂,淀粉酶是一种分解糖原的酶。
• 阿尔新蓝/高碘酸-席夫(AB/PAS 或AB-PAS)在PAS 步骤之前使用阿尔新蓝。
使用
PAS 染色主要用于染色含有高比例碳水化合物大分子(糖原、糖蛋白、蛋白多糖)的结构,通常存在于例如 结缔组织、粘液、糖萼和基底层。
PAS 染色可用于辅助诊断多种疾病:
- 糖原贮积症(相对于其他贮积症)。
- 腺癌,通常分泌中性粘蛋白。
- 乳腺佩吉特病。
- 肺泡软部肉瘤。
- 对 Whipple 病中的巨噬细胞进行染色。
- 门静脉周围肝细胞染色阳性可诊断α1-抗胰蛋白酶缺乏症。
- PAS 阳性淋巴细胞聚集体存在于蕈样肉芽肿和 Sézary 综合征的表皮中,称为 Pautrier 微脓肿。
- 尤文肉瘤
- 红白血病,一种未成熟红细胞白血病。 这些细胞染成明亮的紫红色。
- 肺泡蛋白沉积症。
- 真菌感染,真菌细胞壁呈品红色; 这只适用于活真菌。 相比之下,Grocott 的甲胺银染剂 (GMS) 会染色活的和死的真菌生物体。
- 用于鉴定患有肺间质糖原沉积症 (PIG) 的婴儿的肺活检标本中的糖原。
- 它可用于突出蜡样脂褐质沉着症 (NCL) 中的超交联脂质包涵体。
通过使用淀粉酶消化切片中的糖原,然后将淀粉酶消化的 PAS 切片与正常 PAS 切片进行比较,可以确认组织切片上是否存在糖原。 淀粉酶阴性载玻片将显示品红色染色,其中糖原存在于组织切片中。 用淀粉酶处理过的载玻片在载玻片上的那些位置将没有任何阳性 PAS 染色
PAS 染色也用于纤维素染色。 一个例子是寻找由非氧化纤维素组成的植入式医疗设备。
如果将在组织上进行 PAS 染色,推荐的固定剂是 10% 中性缓冲福尔马林或 Bouin 溶液。 对于血涂片,推荐的固定剂是甲醇。 不推荐使用戊二醛,因为游离醛基可能会与席夫试剂发生反应,从而导致假阳性染色。
内容来源于网络,本内容不代表16map.com立场,内容投诉举报请联系16map.com客服。如若转载,请注明出处:https://16map.com/wiki/nmjeui0lnite