G显带
词条百科 10
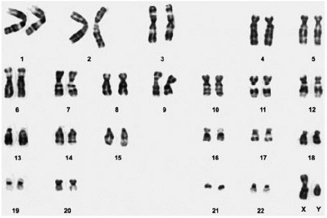
G 显带、G 显带或 Giemsa 显带是细胞遗传学中使用的一种技术,通过对浓缩染色体进行染色来产生可见的核型。 这是最常见的染色体显带方法。 它对于通过整个染色体组的照片表示来识别遗传疾病很有用。 中期染色体用胰蛋白酶处理(部分消化染色体)并用姬姆萨染色剂染色。 往往富含腺嘌呤和胸腺嘧啶(富含 AT)DNA 且相对缺乏基因的异染色质区域在 G 带中染色更暗。 相比之下,较少浓缩的染色质(常染色质)——往往富含鸟嘌呤和胞嘧啶(富含 GC)且转录活性更高——包含较少的吉姆萨染色,这些区域在 G 显带中显示为光带。 从着丝粒到端粒的染色体每条臂上的条带图案都已编号。 该编号系统允许精确识别和描述染色体上的任何条带。 G 波段的反转在 R 波段中获得。 条带可用于识别染色体异常,例如易位,因为每条染色体都有独特的亮带和暗带模式。
很难基于简单的染色来识别和分组染色体,因为结构的统一颜色使得难以区分不同的染色体。 因此,开发了 G 显带等技术,使条带出现在染色体上。

这些条带在同源染色体上的外观相同,因此鉴定变得更容易和更准确。 染色体的浓缩程度越低,G 显带时出现的条带越多。 这意味着不同的染色体在前期比在中期更明显。
维基共享资源中有与 G 显带相关的媒体。
内容来源于网络,本内容不代表16map.com立场,内容投诉举报请联系16map.com客服。如若转载,请注明出处:https://16map.com/wiki/nmjeui0lmizq